| 品牌 | 爱普生Epson |
|---|---|
| 型号 | Epson CB-4650 |
商用投影机 家用投影机 工程投影机 投影屏幕 音响产品 投影机灯泡 电子白板 会议电话系统 松下高速扫描仪
|
|
|
5200 流明色彩亮度,可投射大画面
分辨率XGA,呈现高清晰的图像
高画质,采用爱普生原创水晶高清技术
高可靠,采用爱普生原创无机液晶面板
镜头可位移
多种图像校正方式
高品质的影像
高亮的大画面影像
**大亮度5200 流明,即使在演讲大厅、大型会议室和礼堂,爱普生工程投影机也能投射出高质量的图像。
三片液晶投影技术
3LCD 技术以平滑的色彩变换实现卓越的图像质量,实现色彩平滑变换,使投影图像更加清晰、炫目。
爱普生水晶高清技术
在之前仅用在高端的家庭影院投影机中的爱普生独有的水晶高清技术,如今**运用于高端工程投影机。水晶高清技术采用具有垂直取向(VA)技术的无机液晶面板,保证更高的对比度和高质量的平滑影像。
自动光圈
超高精度自动光圈控制系统可以实现5000:1 的高对比度。该系统可以检测到每个场景的固有亮度水平,并自动调整光输出到**水平。因此,即使对于明暗快速切换的场景,投影机也能瞬时调整,以确保深黑和准确的色彩再现。自动光圈通过移动上下快门,即时优化光输出,实现水晶般清晰的高亮和深黑的画质投影。
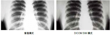
DICOM SIM 模式
DICOM SIM 模式可以清晰的还原具有更深阴影的医疗图像(如X- 射线数字图像和其他医疗图像),在医疗教学环境中使用。
* 该投影机非医疗设备,不能在日常诊断中使用。
DCDi Cinema
该芯片通过**的I/P 转换和图像细节缩放,投影出平滑、逼真的运动影像。
安装方便
快速调节镜头移动
垂直镜头移动(上下)**大58%,水平镜头移动(左右)**高38%,使投射画面的调整变得更加容易。对于投影机和屏幕位置,用户也有更加灵活的选择。
投影机镜头锁
投影机配有镜头锁,在调整好镜头位移位置后,可以将镜头锁住,避免镜头调好后,再次位移的情况。
内置多画面拼接系统
弧形校正
当投影图像在屏幕上出现弧形时,使用此功能可快速、轻松的校正投影图像。
点校正
当单台投影机投射图像扭曲或多台投影机投射图像边缘重合部分未对准时,使用点校正功能,即使是大幅屏幕,也可以快速、轻松地点对点的从上到下或从左到右校正投影图像**大可以校正9 x 9 个点。
多屏幕色彩调整
校正每台投影机的投影亮度和色彩,使每台投影机的亮度和色彩保持一致。
图像校正
色彩均匀度校正
可通过菜单,校正画面的均匀度,使画面更加**。
Gamma 校正
Gamma 校正允许你调整投影图像中间层次的亮度。
RGB 校正功能
在暗场通过单独减少红绿蓝三色,校正亮度和色调;在亮场通过增加红绿蓝三色,校正亮度和色调。
RGBCMY 校正功能
通过增减RGBCMY 六色的色相、饱和度和亮度,校正图像的色彩。
更多的应用功能
双画面并列投影
可以让单台投影机同时投影两路不同的输入信号源,比如在进行高清视频会议时,可以同时投影远端参会者视频影像和电脑上播放的演示材料。
日程管理功能
内置时钟,投影机可以在不外接电脑的情况下按日程表执行程序。用户可以注册多达30 个程序。
更多的应用功能
监视和控制
可通过爱普生自带的Esay MP Monitor软件监视投影机状态和控制投影机运行; 可很好的同CrestronAMXExtrion 等中控设备兼容。
网络投影
可通过有线网络或选配无线网卡,使用自带的EasyMP network projection软件进行有线或无线网络投影。
丰富的接口
外观设计适用于任何空间
精致设计的外观,整洁优雅的外壳,展现了这款旗舰产品的艺术气质和令人震撼的力量。
白色的外壳,优雅的轮廓
抛光的设计能匹配任何环境,即使是礼堂和大型教室等场所。对于任何安装方案,柔和的白色外观,都不会显得突兀。
可选的用户吊架突出了设计的平衡,使整个空间设计完好相配。
中置镜头
镜头居中设计,避免了许多安装上的繁琐。可以快速对准吊架,投影机中心,屏幕中心不必考虑投影中心的镜头偏移。



生成海报









